博彩评级网-博彩网_百家乐投资_全讯网新2

  • 在線投稿

教育教學

  • 校內新聞熱線:9291819

首頁 - 學術天地 - 正文
動科動醫學院同一健康與交叉前沿學科研究團隊在國際權威期刊《Advanced Science》發表研究論文
【發布日期: 2024-10-23】 【來源:動科動醫 】 【作者:】 【編輯:郝璞玉】 【點擊量:

近日,動科動醫學院同一健康與交叉前沿學科研究團隊在國際權威期刊《Advanced Science》(中科院一區TOP期刊,IF5-year:16.3)發表了題為“The MICOS complex subunit Mic60 is hijacked by intracellular bacteria to manipulate mitochondrial dynamics and promote bacterial pathogenicity”(《胞內病原菌通過操縱宿主線粒體接觸位點和嵴組織系統(MICOS)亞基Mic60調控線粒體結構變化并介導細菌的致病性》)的最新研究論文。動科動醫學院程昌勇教授為論文第一作者,宋厚輝教授為論文通訊作者。該研究得到了國家重點研發計劃青年科學家項目、國家自然科學基金、浙江省自然科學基金等項目的支持。

該研究聚焦重要人獸共患胞內病原菌——單增李斯特菌,系統探索了病原在感染過程中與宿主線粒體的調控關系,首次揭示了細菌重要毒力因子與線粒體接觸位點和嵴組織系統(MICOS)復合物的互作分子機制。

人和動物線粒體作為細胞中的能量供應站和決定細胞命運的重要樞紐,在細胞生理變化、先天免疫反應和新陳代謝等方面發揮關鍵功能。該研究系統闡釋了單增李斯特菌如何以宿主線粒體MICOS復合物Mic60等關鍵亞基為靶標,通過細菌毒力因子與宿主蛋白互作調控線粒體結構變化、能量代謝以及免疫逃逸等重要感染生物學過程;從病原和宿主層面解析了細菌毒力因子和宿主線粒體結構蛋白互作的關鍵結構域和氨基酸位點,揭示了細菌通過調控宿主細胞器結構和功能變化介導感染生存的生物學機理。

該研究不僅加深了我們對病原微生物在感染過程中與宿主重要細胞器互作機制的理解,而且對于研發針對重要人獸共患胞內菌的新型藥物等防控策略以及保障公共衛生安全具有重要意義。

論文鏈接:http://doi.org/10.1002/advs.202406760

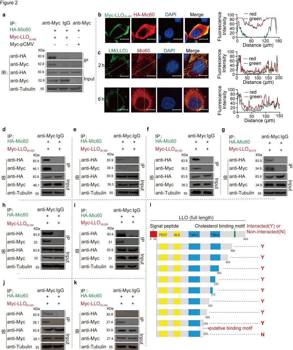
論文主要發現之一:單增李斯特菌毒力因子溶血素LLO與宿主線粒體膜結構蛋白Mic60的互作關鍵結構域和氨基酸位點

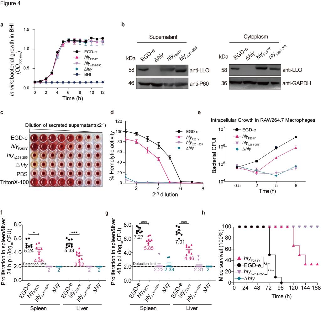
論文主要發現之二:單增李斯特菌毒力因子溶血素LLO的互作關鍵結構域和位點在細菌感染中發揮的重要作用

論文主要發現之三:單增李斯特菌毒力因子溶血素LLO調控線粒體結構變化介導細菌在宿主內感染和遷移的生物學過程

論文機制圖:單增李斯特菌毒力因子溶血素LLO通過與宿主線粒體結構蛋白互作調控線粒體結構變化的生物學過程和分子機制

(動科動醫學院)


COPYRIGHT?2011浙江農林大學 www.lksszxc.com 學校地址:浙江省杭州市臨安區武肅街666號 郵編:311300 電話:0571-63732700
 浙ICP備11046845號-1 浙公網安備33018502001115號 

百家乐庄闲和概率| 欢乐博百家乐官网娱乐城| 百家乐官网完美一对| 百家乐官网首选| 博彩通百家乐概率| 百家乐真人游戏娱乐平台| 大发888娱乐城怎么玩| 网狐棋牌源码| 百家乐官网规则澳门| 富田太阳城二手房| 一二博| 可以玩百家乐官网的博彩网站| 怎样看百家乐官网路单| 百家乐tt娱乐场开户注册| 百家乐官网14克粘土筹码| 百家乐庄闲作千| 百家乐官网娱乐城7| 百家乐在线怎么玩| 足球下注| 百家乐官网路单破| 赌博百家乐的玩法技巧和规则| 六合彩预测| 博之道百家乐官网的玩法技巧和规则 | 澳门百家乐官网威尼斯| 百家乐技术下载| 百家乐图形的秘密破解| 折式百家乐官网赌台| 大丰市| 百家乐推筒子| 大发888注册娱乐账号| 爱博彩论坛| 百家乐官网娱乐城博彩通博彩网| 鸿胜博娱乐| 申博百家乐有假吗| 越西县| 百家乐赢钱的技巧是什么| 91百家乐官网的玩法技巧和规则 | 百家乐官网赌博分析网| 百家乐押注方法| 百家乐官网开户优惠多的平台是哪家 | 百家乐赌博论谈|